GUIDED BIOFILM THERAPY: GIẢI PHÁP TIÊN TIẾN KIỂM SOÁT MẢNG BÁM
- Người viết: Biotech Dental Vietnam Academy lúc
- Tin tức
- - 0 Bình luận
Trong thực hành nha khoa, mảng bám luôn được xem là yếu tố trung tâm gây ra hầu hết các bệnh lý nướu, nha chu và biến chứng quanh implant. Dù đã có nhiều phương pháp làm sạch, việc kiểm soát mảng bám triệt để và bền vững vẫn là một thách thức lớn cho cả bác sĩ và bệnh nhân. Công nghệ Guided Biofilm Therapy (GBT) ra đời nhằm giải quyết những hạn chế này, mang lại quy trình kiểm soát mảng bám khoa học, hiệu quả và nhẹ nhàng hơn.
1.Mảng bám - “thủ phạm thầm lặng” trong nha khoa
1.1 Sự hình thành mảng bám
Mảng bám là một màng sinh học gồm hàng triệu vi khuẩn bám chặt trên bề mặt răng. Quá trình hình thành mảng bám bắt đầu từ màng pellicle, một lớp màng mỏng protein thấm qua màng nhầy niêm mạc miệng, dính chặt vào men răng và các bề mặt kim loại của implant. Tiếp theo, các vi khuẩn bám chặt vào đó, sinh sôi và phát triển thành các tầng lớp sinh học dày đặc.
Ngoài ra, mảng bám còn chứa các yếu tố miễn dịch như kháng thể, các cytokine, và các hợp chất hữu cơ do các vi khuẩn tiết ra. Chính đặc điểm này làm cho mảng bám trở thành một khối bám chắc, khó loại bỏ, đồng thời là môi trường lý tưởng để các vi khuẩn phát triển các độc tố gây viêm nhiễm mô nâng đỡ quanh răng và quanh implant.

Việc hình thành và tích tụ mảng bám rất dễ xảy ra trong cuộc sống thường ngày.
1.2. Hậu quả của sự tồn tại mảng bám
Mảng bám tập trung nhiều ở rãnh nướu, khe kẽ răng, vùng phục hình khó vệ sinh, và đặc biệt quanh cổ implant — nơi các phương pháp vệ sinh thông thường của bệnh nhân khó tiếp cận. Khi không được loại bỏ, lớp mảng bám có thể:
- Gây sâu răng: thức ăn thừa là điều kiện thuận lợi cho vi khuẩn sinh sôi, tạo ra axit ăn mòn men răng và hình thành lỗ sâu răng.
- Gây viêm nướu, viêm nha chu: mảng bám rất dễ gây kích ứng nướu, khiến nướu bị sưng và chảy máu dẫn đến lung lay răng, phát sinh bệnh nha chu.
- Gây cao răng: các chất cặn muối vô cơ có trong nước bọt, khi gặp mảng bám sẽ đông cứng lại thành cao răng bám rất chặt vào chân răng.
- Gây mất tích hợp xương implant: các vi khuẩn trong mảng bám gây phản ứng viêm quanh cổ implant, dẫn tới phá hủy mô mềm và tiêu xương dần quanh trụ.

Lớp mảng bám cứng đầu là nguyên nhân gây ra nhiều vấn đề răng miệng hiện nay.
2. Hạn chế của phương pháp loại bỏ mảng bám truyền thống
Các kỹ thuật làm sạch răng truyền thống đã tồn tại từ lâu, gồm các dụng cụ cơ học như scaler, curette, cùng các biện pháp vệ sinh tại nhà của bệnh nhân. Tuy nhiên, phương pháp này có những hạn chế rõ rệt khi đối diện với các dạng mảng bám phức tạp.
2.1. Khó tiếp cận triệt để vùng sâu
Dụng cụ cơ học như scaler hay curette thường không thể loại bỏ hoàn toàn mảng bám ở những vị trí sâu như túi nha chu, vùng quanh implant có ren, hoặc các khe kẽ hẹp. Theo nghiên cứu, các kỹ thuật cạo vôi truyền thống có thể làm trầy xước bề mặt chân răng hoặc implant, đồng thời chỉ loại bỏ được 50–70% mảng bám ở túi nha chu sâu. Điều này gây ra hiện tượng bỏ sót mảng bám, dẫn đến viêm nhiễm kéo dài và làm giảm hiệu quả điều trị sau cùng.

Dù được ứng dụng rộng rãi, các dụng cụ cơ học truyền thống không có khả năng loại bỏ mảng bám triệt để 100%.
2.2. Khó duy trì vệ sinh tại nhà
Mảng bám có thể hình thành trở lại chỉ sau 12–24 giờ. Điều này khiến bệnh nhân khó tự duy trì tình trạng sạch mảng bám, đặc biệt ở những người đang chỉnh nha, có phục hình toàn hàm, hoặc khả năng vệ sinh kém.
2.3. Thiếu quy trình chuẩn hoá
Các phương pháp truyền thống thường phụ thuộc vào tay nghề bác sĩ, thiếu sự đồng bộ, dẫn đến chất lượng điều trị không ổn định. Nhiều phương pháp gây ê buốt, chảy máu, làm giảm trải nghiệm của bệnh nhân và hạn chế hiệu quả dài hạn.
3. Công nghệ Guided Biofilm Therapy – cách mạng trong kiểm soát mảng bám
3.1. Nguyên lý của GBT
Guided Biofilm Therapy (GBT) là phương pháp loại bỏ mảng bám có kiểm soát, theo một quy trình khoa học gồm 8 bước:
- Đánh giá: Kiểm tra và đánh giá ca lâm sàng
- Bộc lộ: Làm cho mảng bám bộc lộ rõ
- Khuyến khích: Nâng cao nhận thức và hướng dẫn
- Airflow: Loại bỏ mảng bám, vết dính và vôi răng mới hình thành
- Perioflow: Loại bỏ mảng bám trong túi nha chu >4mm đến 9mm
- Piezon: Lấy sạch vôi răng còn sót lại
- Kiểm tra khi bệnh nhân cười
- Tái khám
Trọng tâm của GBT là đánh dấu mảng bám, giúp bác sĩ và bệnh nhân nhìn thấy rõ vùng cần làm sạch, sau đó sử dụng thiết bị chuyên dụng để loại bỏ mảng bám nhẹ nhàng và chính xác.
3.2. Thiết bị EMS Airflow Prophylaxis Master

Với 3 công nghệ trong 1 thiết bị, máy EMS Airflow Prophylaxis Master là thiết bị làm sạch sinh học toàn diện uy tín nhất Châu Âu - và toàn thế giới.
GBT được triển khai bằng hệ thống thiết bị hiện đại của EMS (Thụy Sĩ) với các đặc điểm nổi bật sau:
- Bột Airflow PLUS với kích thước hạt siêu mịn, giúp loại bỏ mảng bám hiệu quả cả trên và dưới nướu và quanh implant mà không làm tổn thương mô.
- Mũi phun Perioflow linh hoạt và khả năng tiếp cận tối đa đối với từng độ sâu đo được của túi nha chu/quanh
- Công nghệ Piezon® PS No Pain cho phép cạo vôi chính xác, kiểm soát tốt mà không gây ê buốt.
- Piezon® PI Max
Đầu tay cầm linh hoạt, dễ tiếp cận các vùng sâu quanh implant hoặc khe kẽ răng.
4. Ứng dụng GBT trong lâm sàng nha chu và implant
Nhờ quy trình điều trị có kiểm soát và công nghệ tiên tiến của EMS, GBT không chỉ giúp loại bỏ mảng bám hiệu quả mà còn tối ưu trải nghiệm bệnh nhân – nhẹ nhàng, chính xác và an toàn cho mô mềm.
4.1 Phòng ngừa và điều trị nha chu
Trong điều trị nha chu, việc kiểm soát mảng bám sớm đóng vai trò chủ đạo trong ngăn ngừa bệnh lý tiến triển. GBT giúp phát hiện mảng bám tại các giai đoạn sớm nhất, từ đó phối hợp với các phương pháp điều trị nội khoa, ngoại khoa phù hợp để giảm viêm, chảy máu nướu, duy trì mô nâng đỡ ổn định và giảm thiểu nguy cơ tiêu xương.

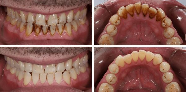
Hình ảnh ca lâm sàng trước và sau khi áp dụng công nghệ GBT.
4.2 Chăm sóc quanh implant
Vùng quanh implant rất nhạy cảm, dễ bị viêm nhiễm nếu không kiểm soát mảng bám đúng cách. GBT giúp loại bỏ mảng bám chân răng quanh implant một cách chính xác, không gây tổn thương Titan hoặc giảm tính liên kết của implant.
Việc duy trì vệ sinh tốt giúp giảm thiểu các nguy cơ viêm quanh implant, mất tích hợp xương, từ đó giữ vững kết quả cấy ghép và kéo dài tuổi thọ của implant trong nhiều năm. Phương pháp này còn rất phù hợp với các bệnh nhân có vùng cấy ghép phức tạp hoặc có các vùng khó vệ sinh do cấu trúc răng, mô mềm.
4.3 Hỗ trợ nhóm bệnh nhân đặc biệt
Trong các ca chỉnh nha hoặc phục hình cầu, cầu mão phức tạp, khả năng làm sạch mảng bám xung quanh mắc cài, aligner hoặc các cấu trúc phục hình rất quan trọng. GBT đảm bảo làm sạch toàn diện, ngăn ngừa mảng bám tích tụ, từ đó giảm thiểu các biến chứng viêm nhiễm và kéo dài thời gian điều trị.
Không chỉ giúp kiểm soát mảng bám hiệu quả, phương pháp này còn mang lại cảm giác nhẹ nhàng, thoải mái cho bệnh nhân, thúc đẩy sự hợp tác và tuân thủ tốt hơn trong quá trình điều trị.
5. Kết luận
Mảng bám là một trong những yếu tố nguy cơ chính dẫn đến các bệnh lý nha khoa nghiêm trọng như viêm nướu, nha chu, viêm quanh implant và các biến chứng sau này. Tuy nhiên, với sự phát triển của công nghệ và các phương pháp hiện đại, việc kiểm soát mảng bám chưa bao giờ dễ dàng hơn như khi áp dụng Guided Biofilm Therapy. GBT không chỉ giúp loại bỏ mảng bám hiệu quả, mà còn góp phần nâng cao trải nghiệm bệnh nhân, chuẩn hoá quy trình điều trị, giảm thiểu rủi ro, nâng cao tính an toàn và hiệu quả lâm sàng.
Các bác sĩ và chuyên gia nha khoa có thể tìm hiểu sâu hơn và trải nghiệm thực tế GBT và thiết bị EMS Airflow tại Workshop “Cách mạng hoá phòng ngừa và điều trị viêm nha chu, viêm quanh implant” sắp tới của Biotech Dental Vietnam. Đây là cơ hội để cập nhật kiến thức mới, nâng cao kỹ năng, góp phần nâng tầm chất lượng dịch vụ nha khoa.
Xem chi tiết sự kiện tại đây!

Viết bình luận